Unmatched Restorations -
Esthetic and Functional Harmony
Diagnostic
Waxing
Precision Diagnostic waxing is one of the most requested services we offer. Our talented technicians not only create beautiful, natural diagnostic wax ups but they teach these very same techniques to other technicians for Ivoclar Vivadent. To learn more about our waxing courses visit http://www.ivoclarvivadent.us/en-us/courses-by-date/?sid=10153.

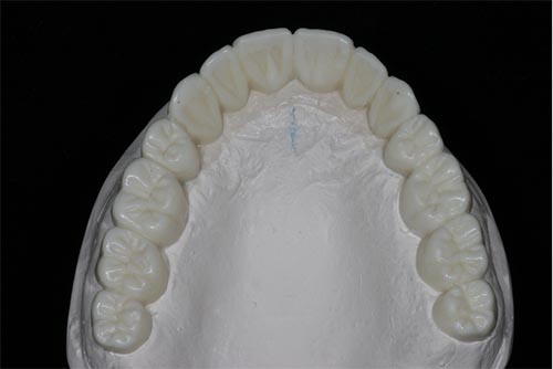
Diagnostic Wax-Ups are a valuable tool for any smile makeover because they give the patient an accurate preview of how his or her finished case will look. With this technique, the lab removes the desired amount of tooth structure from the preoperative model and the restoration is waxed onto the patient's actual prepped teeth. This method accurately shows the patient, dentist and lab technician what is realistically attainable for the patient.

With the growing popularity of ceramic pressing technology for either monolithic, bi-layer or “press-to” restorations, the art of full contour waxing remains one of the most important skills for today’s dental technician. Whether it is a diagnostic wax-up to guide the treatment planning for large reconstructions, or final waxing of the definitive restoration, the techniques for developing esthetic and functionally correct contours in wax, must be skillfully employed in order to guarantee a great restorative outcome.
Instagram Facebook LinkedIn Youtube