Unmatched Restorations -
Esthetic and Functional Harmony
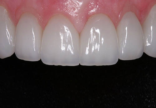
E.Max
IPS e.max Lithium Disilicate

Lithium disilicate (LS2) glass-ceramic is ideally suitable for the fabrication of monolithic single-tooth restorations. This innovative ceramic provides highly esthetic results and, compared to other glass-ceramics, demonstrates a strength that is 2.5 to 3 times higher. Supported with zirconium oxide, it may also be used for bridges in the posterior area. The material is used in the dental laboratory in conjunction with either the press or the CAD/CAM technology. Given the high strength of 360-400 MPa, the restorations offer flexible cementation options. Depending on the patient situation, the restorations may be veneered in a highly esthetic manner or, if fabricated as monolithic restorations, stained.

IPS e.max Preparation

Careful preparation is decisive for the accuracy of fit and durability of the restoration. Precise marginal design with a circular shoulder or a chamfer preparation with rounded inner edges is important. Avoid sharp transitions and feather edges. Adhesive cementation permits defect-oriented preparation. In order to achieve sufficiently strong restorations, the minimum thicknesses have to be observed. With the IPS e.max system, the recommended areas of indication, preparation recommendations and connector strength values for the material used (LS2 or ZrO2) have to be observed.
Instagram Facebook LinkedIn Youtube