Unmatched Restorations -
Esthetic and Functional Harmony
Removable
Department
Over the last 25 years, Precision has built one of the most respected service-driven removable laboratories in the dental industry. With Precision, you can be assured that our full, partial and combination departments are here to provide you and your patients with removable restorations that function well, fit comfortably and enhance your patient’s smile.

Highly Skilled, Talented CDT’s

Precision has developed a state of the art, unique team approach to serving your dental practice. Our full, partial and combination department focuses on personal service with a team led by our most experienced, veteran technicians. The goal of each team is to provide you with a consistent quality of artistry with each case, while providing personalized attention through enhanced, personal communication. Our talented CDT technicians initially checks in the case to verify instructions and design, coordinates each phase of fabrication and personally checks out the case prior to delivery. They are available to discuss case specifications and technology selection at all times.

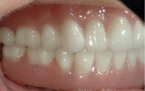
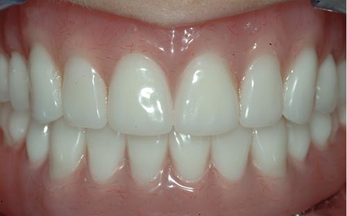
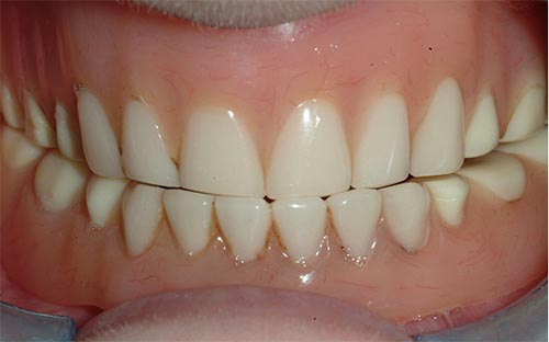
Dentures and Partials

Precision Dental Dentures and Partials provides a unique custom arrangement of denture teeth based on patient age, desired tooth shade, masculine or feminine features and natural tissue contours. Our certified dental technicians (CDT’s) customize every case for a comfortable, functional appliance that provides the patient with a lifelike smile embodying their individual characteristics.

Preicision Dentures are contoured in a way that promotes self-cleansing and the appearance of natural tissue. What's more, our injection-molded processing system, IvoBase®, ensures gap-free adaptation for better long-term stability.

FREE Survey, Design and Estimates

Precision is happy provides FREE survey, design and estimates on your study casts to assist with case design, preparation guidelines, technology selection and treatment approval. Simply send us your study casts and we’ll do the rest.
  • Premium Ivocap® Injection Dentures
  • Vitallium® 2000 Plus Partial Dentures
  • Diamond D - Esthetic Partial Dentures
  • Combination Crowns with Partials
  • Valplast® Flexible Partial Dentures
  • Cu-Sil® Partial Overdentures
Verification Jigs and Occlusal Rims

Precision provides the most accurate and easy to use verification jigs in the dental industry today. We take that extra step and care to ensure that you implant cases with Precision are simple and precise. Splints/Mouthguards

Precision Dental Arts offers a complete line of preventative care products that were designed to assist your patients who require bruxism protection, splint therapy, and sports protection. Our specialized preventative care department consists of a certified team of technicians who are trained in all phases of fabrication.

PMMA Custom Provisionals

CAD/CAM fabricated provisionals have shown a higher mechanical strength compared to those directly fabricated by hand. A highly cross-linked synthetic, PMMA is used for long-term provisional solutions.

PMMA Restoration Highlights
  • Durability of material provides long-term wear
  • Homogeneity ensures good tissue compatibility
  • Highly resistant to abrasion after polishing
  • Excellent shade stability
  • CAD/CAM Technology ensures precise marginal fit
  • Milling allows superior secondary occlusal anatomy
  • Traditional cementation
  • Indications Temporary anterior and posterior single crowns
  • Temporary anterior and posterior bridges (up to 2 adjoining pontics)
  • Temporary restorations on implants
  • Temporary Inlay/Onlays
  • Economy Final Restoration
Instagram Facebook LinkedIn Youtube